Meet with us and discover a clinic where we focus on creating natural-looking results in every procedure.
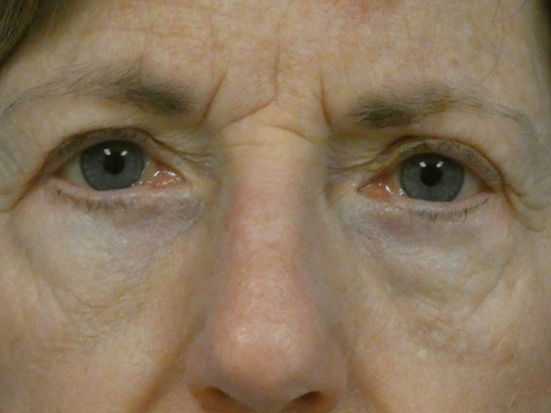
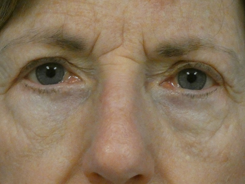
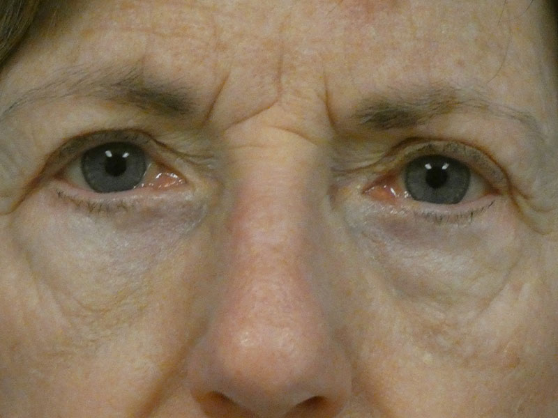
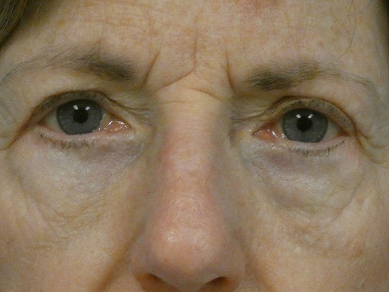
Eyelid Lift Gallery
-
Eyelid Lift
- Brachioplasty
- Brazilian Butt Lift
- Breast Augmentation
- Breast Augmentation With Lift
- Breast Implant Removal
- Breast Lift
- Breast Reconstruction
- Breast Reduction
- Breast Revision
- Combo Procedures
- Cool Peel
- Eyelid Lift
- Facelift
- Fat Grafting
- Gynecomastia
- Injectables Face
- Ipl Sun Spots
- Laser Skin Resurfacing
- Lip Filler
- Lip Lift
- Liposuction
- Liquid Rhinoplasty
- Microneedling
- Mommy Makeover
- Otoplasty
- Rhinoplasty
- Sculpsure
- Thermitight
- Thighplasty
- Tummy Tuck
- Under Eye Filler
- Virtue Rf
You will be treated with professionalism and kindness.
© Valdosta. All Rights Reserved. Digital Marketing & Design by Studio 3 Marketing®. Digital Strategy by SEOversite.
- Privacy Policy
- Alternate Phone: (229) 242-3002





































































